肺のエネルギーを補うツボ『肺兪(はいゆ)』
秋は乾燥が強くなり東洋医学では肺に負担がかかりやすい季節です 咳などの呼吸器系の不調や 皮膚の乾燥・便秘など肺と関連する症状に役立つツボ【肺兪(はいゆ)】をご紹介 肺のエネルギーを補う『肺兪』 背中、肩甲骨の間より少し下 第3・4胸椎の両脇 ・咳、気管支、喘息のサポート ・乾燥による呼吸器の不調 ・皮膚トラブル(乾燥など) ・免疫力アップ 親指で優しく円を描くように指圧または灸 秋の養生は【肺】 東洋医学で肺は 「秋に弱りやすい臓」とされており この時期に肺兪を温めたりマッサージすることは 呼吸器疾患が気になる子は勿論元気な子にも免疫力UPにおすすめです 薬膳で肺を潤す食材をプラスしたり 室内の乾燥対策も忘れずにしましょう お灸がおすすめ! 冷えや乾燥からくる咳には「温める刺激」が効果的です 指での指圧もおすすめですが冷えている子や、背中が固くなっている子にはお灸をおすすめします ※火を使わないお灸や小豆のカイロなど その子に合わせた方法をご紹介します 是非ご相談ください 🐾こんな子におすすめ ・咳や気管支炎が気になる子 (慢性の子や気管虚脱も) ・乾燥が気になる子 ・アトピーがある子 ・免疫力をあげたい子 より詳しく鍼灸や漢方・推拿を 我が子🐶😺🐰にしてみたい飼い主さんは東洋医学診療まで!
2025.10.08 東洋医学,犬の鍼灸,犬の漢方, 肺兪,秋におすすめのツボ,呼吸器系におすすめのツボ
10月1日~ ☆秋の健康診断キャンペーンを始めます☆
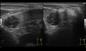
昨年も実施した、秋の健康診断キャンペーンを今年も実施いたします 一般健康診断 身体検査+血液検査(血球検査+生化学検査) ベーシックな健康診断になります シニア期は年2回の血液検査をおすすめしています オプション検査 レントゲン検査・超音波検査・尿検査・ホルモン検査など レントゲン検査・超音波検査 心臓やお腹の中を詳しく検査したい場合 犬・猫は10歳を目安におすすめしています 尿検査 腎臓病の早期発見や経過観察など 尿蛋白・クレアチニン比(UPC)も含まれます FGF23などの検査が必要な場合は別料金ですが検査が可能です ホルモン(内分泌)検査 疑わしい症状が出ている場合に 甲状腺や副腎などの検査に 注意事項 血液検査や画像検査はなるべく12時間以上の絶食での検査をお願いしています 食後でも検査は可能ですが、数値に影響が出ることがあります 一般健康診断のご予約はネットからでも可能ですが、画像検査(レントゲン検査・超音波検査)は時間がかかる検査の為、お電話か受付でのご予約をお願いしています 当日でもお受けできる事はありますが、予定によっては後日になる可能性があることをご了承ください どの検査を行ったら良いかが分からない方はご相談いただければ、その子の年齢や様子に合わせてご提案させていただきます ご不明な点などございましたら、お気軽にお電話やLINEなどでお問合せ下さい
2025.09.25 キャンペーン, ペットクリニック, ホルモン検査, レントゲン検査, 一色, 三浦, 便検査, 健康診断, 内分泌検査, 動物病院, 尿検査, 横須賀, 秋の健康診断, 葉山, 血液検査, 超音波検査, 逗子
鍼灸治療症例【ぼんちゃん】
とってもお利口に鍼灸と推拿(マッサージ)を受けてくれるぼんちゃん 【巨大結腸症】という病気があり自分の力だけでスムーズに排便するのが難しいぼんちゃん 西洋医学では胃腸を動かすお薬や浣腸、便を柔らかくする薬等を使用していました(その子によっては外科手術も考慮) 東洋医学では 「腸の動きを助け、気血を巡らせることでストレスや自律神経の乱れを整える」ことを重要視し、アプローチする事で 便通を補助し、その子の生活の質(QOL)を高めるサポートをします 実際、治療後は浣腸の頻度を減らす事ができ ぼんちゃんが自分でトイレに行き排便出来る回数も増えました(自分のトイレで排便出来たのはかなり久し振りだったとのことです✨) お家でも出来る範囲でお灸とマッサージをしてケアをしてもらい、ぼんちゃんのサポートをしていきます 胃腸の不調は自律神経のケアを補助的にしてあげるだけでもかなり変わってきます 総合的なケアで 🐶😺🐰のQOLをあげるのは東洋医学の得意分野です 気になる症状があればお気軽にご相談下さい 🐶😺🐰鍼灸治療は完全予約制です 平日のお昼(12時〜15時)に行っています 日程は電話又は受付にてご相談下さい(土曜日の診療は応相談)
2025.09.21 巨大結腸症、便秘、自律神経, 東洋医学、猫の鍼灸、犬の鍼灸、猫のお灸、猫のマッサージ、推拿
からだのバランスを整える【合谷(ごうこく)】
体調を崩しやすい季節の変わり目は 東洋医学で陰陽のバランスの乱れと関連があると捉えます からだのバランスを整え不調を改善する【合谷(ごうこく)】をご紹介 からだのバランスを整える『合谷』 前肢の親指と人差し指の間 水かきの付け根あたり (骨と骨の間のくぼんだ部分) ・全身調整(全身の気血の流れを整える) ・鎮痛作用 ・顔周囲の不調(歯・口・眼トラブル) ・ストレス緩和親指で優しく指圧 「万能のツボ」頭〜足まで全身の症状に使えるため「万能のツボ」として有名(特に顔周辺の症状) シニアの子に多い口内炎や歯周病の痛み・それによるストレスにもオススメです ※麻酔がなかった時代には歯の治療の際、合谷のツボを押しながら処置をしていたとか…… 妊娠中は要注意! 合谷は「気血を巡らせる力」が強く子宮収縮にも関与します 人でも「安産のツボ」と呼ばれる一方、妊娠時期によっては流産や早産のリスクに繋がります 妊娠中の動物への自己判断での刺激は避けたほうが良いでしょう ※当院では妊娠中に出来る鍼灸やマッサージで安全にむけた体調ケアの施術を行います 🐾こんな子におすすめ ・顔周りに不調がある子(鼻炎・結膜炎・ドライアイ・歯周病・口内炎) ・痛みや炎症がある子 ・免疫力を上げたい子 ・ストレスや不安感が強い子痛みや炎症がある場合は根本治療も一緒に行いましょう より詳しく鍼灸や漢方・推拿を 我が子🐶😺🐰にしてみたい飼い主さんは 当院の東洋医学診療まで!
2025.08.28 犬のツボ、東洋医学、お家でできるケア、推拿、猫のツボ, 陽明大腸経、合谷、ごうこく、鎮痛作用のあるツボ
鍼灸治療症例【ジャックちゃん】
ジャックちゃんサイズのベッドを持参して頂き、待合室で のんびり鍼灸&推拿をしています 気持ち良さそう! 大型犬はシニア期になると 後ろ脚の弱りの悩みが増えてきます 西洋医学では「関節炎」「椎間板疾患」「神経障害」「加齢による筋力低下」などと診断されることが多いですが、 東洋医学では「気・血・腎気」の不足や滞りという原因から治療を行います 東洋医学的には 大きく分けて4つのタイプが考えられます 1.腎虚(じんきょ) 腎は「骨」「髄」「脳」を養い、腰や後肢の力をつかさどると言われているので 加齢や慢性病、過労で腎精が減ると後肢が弱ってくる 症状:歩行が遅い、腰が落ちる、寒さで悪化、毛艶低下、耳の遠さ、夜間頻尿など 2. 気血両虚(きけつりょうきょ) 病後、栄養不足、慢性疾患で気血が足りず後肢が弱ってくる 症状:疲れやすい、息切れ、食欲不振、舌が淡い色など 3. 痺証(ひしょう) 風・寒・湿により血流が悪くなり後肢がしびれる・動きにくくなる 特に湿気や寒さで悪化しやすい 症状:関節のこわばり、足先の冷え、天気で変動など 4. 痿証(いしょう) 熱や湿が筋肉を損ない、筋肉がだんだん痩せていく 症状:後肢が細くなる、力が入らない、舌紅、口渇など 東洋医学では根本から整えることで、再発や悪化を予防します。必要に応じて漢方処方もしています また栄養学&薬膳の観点からサプリメントやご飯のアドバイスもしています 総合的なケアで 🐶😺🐰のQOLをあげるのは東洋医学の得意分野です 気になる症状があればお気軽にご相談下さい 🐶😺🐰鍼灸治療は完全予約制です 平日のお昼(12時〜15時)に行っています 日程は電話又は受付にてご相談下さい (土曜日は12時から一枠だけ予約を受付けています)
2025.08.28 オールドイングリッシュシープドッグ, 大型犬の鍼灸、推拿、マッサージ, 東洋医学,犬の鍼灸,犬の漢方, 股関節痛、神経疾患、筋力低下、椎間板疾患、関節炎
身近に迫るSFTS(重症熱性血小板減少症候群)について
最近NEWSでも多く取り上げられているSFTSについて、先日セミナーを受講したのでまとめてみました。 今までは神奈川県での発生がなかったため実感がなかったのですが、ついに神奈川県内でも発生が報告されたためより一層の注意が必要です。 SFTSがどんな病気で、どんな症状が出て、どんな対策をすればいいのか考えていきましょう。 重症熱性血小板減少症候群(Severe Fever with Thrombocytopenia Syndrome : SFTS) 原因 ブニアウイルス目フェヌイウイルス科SFTSウイルス 1本鎖RNAウイルス 直径80~100nm エンベロープウイルス 感染動物 多くの哺乳動物(犬・猫・人など) 感染経路 マダニによる媒介 感染動物との接触(血液・体液・排泄物など) ノミダニフィラリア.comより 人における発生状況 以前までは九州や中国地方が感染のメインで関東より東側には感染は認められていませんでしたが、令和7年7月11日に神奈川県の足柄上郡松田町でも発生が報告されました。 JIHS HPより 感染エリアは年々東側に拡大しているため、今後は神奈川県内でも発生件数が増加することが予想されます。 犬や猫における発生状況 人と同様に感染エリアは徐々に拡大しており、最新の報告(令和7年5月)では茨城県で犬と猫の発生が報告されました。 JIHS HPより 猫は犬よりも感受性が高く、発生件数は人の数とほぼ同等です。 また発生件数は年々増加しており年間180件以上と報告されています。 JIHS HPより 神奈川県も発生リスクの高い地域に入っているため、予防を徹底していきましょう。 犬と猫の症状 食欲不振 発熱 黄疸 嘔吐・下痢 神経症状 リンパ節の腫大 猫の致死率:62.3% 犬の致死率:47% SFTSの診断 血液検査にて病原検査もしくは抗体検査により診断 SFTSの治療 現在、有効な治療法はありません 点滴などの対症療法が中心となります SFTSの予防 マダニ予防の徹底 動物への感染はマダニからが主な感染経路のため通年予防を徹底する 屋内飼育を徹底 マダニの感染機会を減らす SFTS保有動物との接触機会を減らす 動物からの感染について 人のSFTSの症状 発熱、倦怠感、筋肉痛、頭痛、腹痛、食欲不振などが初期症状として現れる 潜伏期間 6~14日間 SFTS感染動物と接触してから2週間を目安に、体調に異変を感じたら医療機関を受診する 動物がSFTSに感染していると申告する 自宅での消毒 ペットが使用したものは、次亜塩素酸ナトリウム(ハイターなど)やアルコール(エタノールなど)にて消毒 手袋、マスク、ゴーグルの着用を推奨 まとめ 人以外にも犬や猫での感染も拡大しており、今後神奈川県でも発生件数も増加することが予想される 動物はマダニからの感染が多い 人は感染動物からも感染する マダニの通年(12か月間)予防を徹底する 室内飼育を徹底する
2025.08.17 SFTS, ペットクリニック, マダニ, 一色, 動物病院, 横須賀, 葉山, 葉山一色ペットクリニック, 逗子, 重症熱性血小板減少症候群
夏の薬膳【ズッキーニ】
身体の余分な熱を逃して不足しがちな潤いを与えてくれる 夏にとれる野菜や果物は暑い今の時期にピッタリな食材です 余分な熱を冷まして身体の中からクールダウンし夏を乗り切りましょう ズッキーニ 帰経 脾胃 五味五性 甘/涼 効果効能 清熱: のぼせ・夏バテ 生津:空咳・喉の渇き 健胃:膨満感・食欲不振 ズッキーニは西洋かぼちゃの仲間で余分な熱を冷ます力が強く 体内の過剰な熱からくるイライラやほてり・のぼせの症状がある子におすすめな食材です 同時に乾燥しがちな気管や肺を潤してくれるので空咳や渇きにも効果的です ズッキーニは食糞防止に効果のある食材と言われています これは糞に犬の嫌う味が出る為(主にシュウ酸)と言われています 食糞といっても様々な理由があるのでこれだけで改善すると断言出来ませんが 食物繊維により腸内環境を整える効果は期待できそうです ※食糞対策はご飯・身体・メンタルと多方面からのサポートが必要になる場合が多いです 【ズッキーニの栄養学】 カリウム・ビタミンC・βカロテン(カロテン)・食物繊維などが豊富 尿石症既往歴がある子は応相談(気になる場合は茹でこぼし調理) 【こんな子におすすめ!】 ・夏バテしやすい ・のほせ、ほてりやすい ・からだに熱がこもりやすい ・乾燥からの空咳が気になる 《おすすめの食材は一例です 身体に合うものをローテーションしながらトッピングや手作りご飯を楽しんで下さいね》 オススメの食材でご飯を作ったら是非教えてくださいね!
2025.08.15 夏の薬膳,ズッキーニ
からだの余分な熱をとる【曲池(きょくち)】
毎日暑い日が続いています 東洋医学で過度の暑さは〈暑邪〉や〈内熱〉として体に不調をきたすものと考えます からだの余分な熱をとって夏に気をつけたい不調を改善する【曲池】をご紹介 からだの余分な熱をとる『曲池』 前肢の肘の外側 肘を曲げた時にできるシワの端 ・体の余分な熱をとる (皮膚の炎症、アトピー) ・免疫を調整する ・便秘、腸の調整 ・精神安定効果 親指で優しく円を描くように指圧 熱を冷ます池 曲池 ツボには〈池〉や〈流れ〉が名前につくものが多くその位置や役割を表しています 【曲池】は肘を曲げた時に出来るくぼみ=池 からきています 曲池は熱による不調(のぼせ・皮膚の赤み・発熱・便秘など)に使用される事が多いツボです ツボ押しでメンタル調整 【怒りっぽい性格】【ストレスを感じやすい性格】にもおすすめなツボで 肝火(かんか)=ストレスや怒りで【頭に血が上った状態】の際に曲池で頭の熱をクールダウンさせるのがオススメです こんな子におすすめ ・皮膚炎がある子 ・シニア犬の便秘 ・アレルギー体質 ・体に熱がこもりやすい子 ・怒りっぽい子 体に熱がこもりやすい子は食べ物を意識して体の中こは冷ましてあげるといいですね! より詳しく鍼灸や漢方・推拿を我が子🐶😺🐰にしてみたい飼い主さんは 当院の東洋医学診療まで!
2025.08.15 からだの余分な熱をとるツボ,曲池,, 東洋医学,犬の鍼灸,犬の漢方
夏の薬膳【トマト】
厳しい暑さが続いています 夏にとれる野菜や果物には 身体の余分な熱を逃して不足しがちな潤いを与えてくれる性質をもっているものが多くみられます 東洋医学で夏は〈心(しん)〉の季節とされ 暑さが厳しくなるにつれ〈心〉に負担がかかりやすくなります 過剰な熱を逃して〈心〉を助ける食材を上手く取り入れるのが夏の食養生のポイントです トマト 帰経 肝脾胃 五味五性 甘酸/微寒 効果効能 清熱: のぼせ・夏バテ 生津:便秘・喉の渇き 健胃:消化不良・食欲不振 微寒性で体を冷やすトマトは ハァハァで熱がこもりやすい子におすすめの食材です 冷えが気になるシニアさんやお腹が敏感な子は加熱してから与えた方が良いでしょう 【トマトの栄養学】 リコピン・βカロテン・ビタミンE・カリウム・ビタミンCなどが豊富 栄養・消化吸収の観点から加熱調理の方が吸収率が上がるのでおすすめです 【こんな子におすすめ!】 ・夏バテしやすい ・むくみやすい ・便秘気味 ・からだに熱がこもりやすい 【トマトの与え方】 生で与える場合は常温で細かくしてからあげましょう(ミニトマトの丸のみ注意!) 《おすすめの食材は一例です 身体に合うものをローテーションしながらトッピングや手作りご飯を楽しんで下さいね》 オススメの食材でご飯を作ったら是非教えてくださいね
2025.08.15 夏の薬膳,トマト,体の熱をとる食材
胃腸機能を整える【天枢(てんすう)】
急な暑さ、クーラー冷えなど寒暖差や夏バテによる胃腸の負担が気になる時期です 下痢や便秘ら腹痛、食欲不振など消化機能の不調を改善するツボ 【天枢】をご紹介 胃腸機能を整える『天枢』 ・胃腸の機能を整える (下痢・便秘・ガス溜まり) ・気や血を調整する 親指と人差し指で優しく指圧 おヘソを中心にに円を描くようにマッサージ 天の枢(かなめ)天枢 天は上半身、枢は天と地の気を分ける重要なところの意 胃腸の気の機能を左右する重要なツボ 内臓機能を高めて全身の調子を整えることで免疫力の向上に繋がります 大腸経の墓穴 天枢 【墓穴】とは各臓腑にありその臓腑や経脉の反応が現れやすいツボのこと 大腸は五臓の「肺」と関係が深く皮膚トラブル・咳などにも影響 →胃腸の不調は皮膚や呼吸器の不調にも関与してきます 🐾こんな子におすすめ ・下痢または便秘気味 ・ガスが溜まりやすい、臭い ・お腹の動きが悪い ・食欲不振 クーラーで冷えやすい子は天枢を冷やさない為にも腹巻がオススメ! より詳しく鍼灸や漢方・推拿を 我が子🐶😺🐰にしてみたい飼い主さんは 当院の東洋医学診療まで!
2025.08.15 天枢,後肢陽明胃経,胃腸にきくツボ,, 東洋医学,犬の鍼灸,犬の漢方










